ATONIA VESICAL REVERSÍVEL COMO CONSEQUÊNCIA DE COMPACTAÇÃO DE MECÔNIO – RELATO DE CASO
A atonia vesical em equinos ocorre geralmente de forma secundária a outros déficits neurológicos, como neurite da cauda equina, mieloencefalite por herpes vírus tipo 1, toxicidade, doenças espinhais e de forma iatrogênica. Em potros também podem ocorrer secundário a afecções uracais ascendentes.
O mecônio consiste na primeira eliminação de fezes, sendo formado de secreções glandulares e âmnio digerido. Se o conteúdo não é eliminado no período de 24 horas, o mesmo é considerado compactado ou retido, resultando em desconforto abdominal.
Potros com desconforto abdominal apresentam limitações quanto a avaliação devido ao tamanho. Desta forma, a ultrassonografia transabdominal é um importante auxiliar diagnóstico.
RELATO DE CASO:
Um potro, macho com 1 dia de idade foi encaminhado com histórico de desconforto abdominal e tenesmo. Na admissão hospitalar apresentava-se com frequência cardíaca de 90 bpm, frequência respiratória de 32 mrm, mucosas róseas, tempo de repleção capilar de 2 segundos, hematócrito 32% proteína total 6.2 g/dl, lactato venoso de 1,6 mmol/l, glicemia de 139 g/dl, porém com episódios de tenesmo.
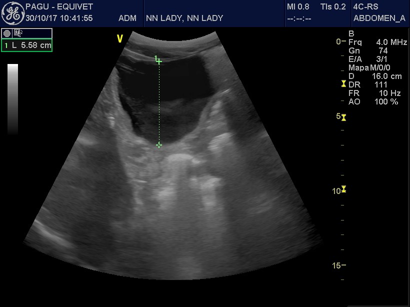
Durante a ultrassonografia transabdominal foram constatadas regiões que sugeriam retenção de mecônio e repleção vesical severa (Imagem 1). Diante disso, prontamente realizou-se sondagem uretral para descompressão recuperando-se 5 litros de urina. Para a retenção de mecônio foram iniciadas terapia laxativa enteral e fluidoterapia parenteral, assim como enema com acetilcisteína. A sonda uretral foi fixada inicialmente, para acompanhamento da eficiência do esvaziamento vesical através da ultrassonografia transabdominal, o que evidenciou repleção vesical persistente. Após constatarmos a ineficiência no esvaziamento, a sonda foi mantida por 4 dias, e aberta a cada 1 hora.
Foi iniciada terapia com cloridrato de betanecol 0.03 mg/ kg por via oral a cada 8 horas. Após este período, o potro iniciou a eliminação espontânea de urina, sendo a sonda removida (Imagens 2 e 3). Os casos de atonia vesical em potros e adultos normalmente são decorrentes de déficits neurológicos. No presente relato acredita-se que o cólon menor compactado e distendido determinou compressão do cólo vesical, impossibilitando seu esvaziamento e consequente distensão. A distensão prolongada resultou em lesão nervosa, comprometendo a contração vesical. Desta forma, sugere-se lesão nervosa temporária e reversível. A opção do uso do cloridrato de betanecol foi devido a sua ação sobre o reflexo destrusor e promotor de contração vesical . Posteriormente , o potro seguiu estável clinicamente, recebendo alta em 10 dias.


Imagens 2 e 3: Ilustram redução da repleção vesical na imagem ultrassonográfica e eliminação espontânea de urina após 4 dias da admissão.
BIBLIOGRAFIA:
BERNARD, W.V., BARR, B.S. Equine pediatric medicine, ed. 2, 2018.
ORSINI, J. A.; DIVERS D. J. Equine Emergencies, ed. 4, p.41. 2014.
McAULIFFE, S. B. Clinical Techniques in Equine Practice. P. 308-316.
McAULIFFE, S. B., SLOVIS, N.M. Color atlas of Diseases and Disorders of the foal, cap. 4 (The gastrointestinal system) p.119-121.
AUER, J. A., STICK, J. A. Equine Surgery, ed.4, p. 432-434, 2012.
Postado Por Equivet
Hospital Veterinário 24 horas em Indaiatuba.


Gostou deste post? Deixe seu comentário